Your most beautiful smile with the dentist you trust. Clear, comfortable, and professional aligners
free consultation

20+ years experience in aligners
Incredible clinical results
Straightforward pricing
In-clinic and virtual follow-ups
Top-rated team
Straighter & whiter smile
Included with your treatment
Complete orthodontic evaluation
X-rays & scans
Complete treatment
In-clinic & remote follow-ups
Retainers
Whitening
We will perform a complete orthodontic exam, take x-rays, a scan and photographs.

To achieve your best smile we will design a personalized 3D treatment plan.

After your fitting which may include the installation of attachments we will continually follow-up with you until you achieve your optimal smile.

We start with a free consultation and determine if you are a candidate. The first appointment consists of x-rays, orthodontic examination, 3D scans and photos. We will then establish a 3D treatment plan to achieve desired results and order your aligners. We will deliver your treatment four weeks later and place attachments if necessary. Follow-ups are done remotely and in-clinic until treatment is completed and you begin retention.
A clear aligner treatment is a series of upper and lower clear aligner pairs. Each pair of aligners creates pressure on specific teeth to allow small movements. A series of movements will place teeth in the desired position until optimal results are achieved. Treatments usually range from 6-18 months on average, but you will start noticing progress as early as two months in.
Each pair of clear aligners should be worn 22 hours a day for 2 weeks. After the 2 weeks and accepted scans, you can move on to the next pair of aligners. The treatment will only give optimal results if aligners are worn as prescribed. Please make sure to use your chewies for 5-10 minutes daily to allow for proper aligner seating. Moving on to the next pair of aligners prematurely will compromise the treatment outcome.
Yes, simply ask us for an insurance claim form.
No, you can pay your treatment in 2 installments or finance it over a 12, 24, 36 or 48-month period with DentoPlan.
Yes! Clear aligners will perfectly straighten your teeth and are a great choice for most smiles.
The best way to clean clear aligners is with a neutral soap such as Dial Unscented, followed by thorough rinsing. Every time you take off your clear aligners to eat, it is essential to brush your teeth, floss and clean your aligners. The antibacterial mousse can be used twice daily to whiten your teeth and refresh your aligners.


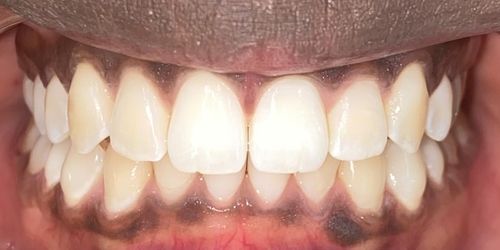
15 steps
—
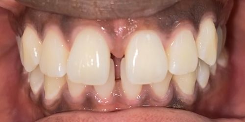
Spaced


21 Steps
—
Crowding


16 steps
—
Crowding, Protrusion
